Curso Avançado: Abordagem Clinica e cirúrgica do Shunt Portossistêmico em pequenos animais
🔍 Aprenda a Dominar a Cirurgia de Shunt Portossistêmico! 🔍
Você é um cirurgião experiente em busca de aprimorar suas habilidades avançadas? Deseja se tornar um especialista na abordagem de casos desafiadores de Shunt Portossistêmico? Então, este curso é a oportunidade que você estava esperando!
🔬 Nosso Curso: Shunt Portossistêmico Avançado 🔬
🚀 Objetivo:
Este curso exclusivo foi minuciosamente elaborado com o objetivo de capacitar cirurgiões com habilidades avançadas a estudar, planejar e executar procedimentos de Shunt Portossistêmico com confiança e precisão.
💡 O que você vai aprender? 💡
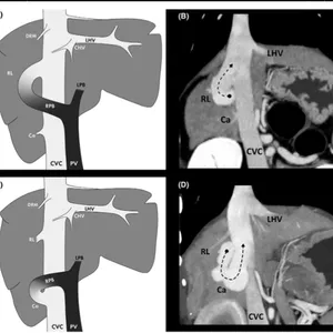
▶️ Fundamentos da doença vascular: Compreenda a essência da patologia, suas causas e consequências.
▶️ Fisiopatologia detalhada: Explore os processos fisiológicos subjacentes à doença.
▶️ Anatomofisiologia: Adquira conhecimento aprofundado sobre a anatomia e a fisiologia envolvidas no Shunt Portossistêmico.
▶️ Aspectos clínicos: Domine a interpretação clínica dos casos e identifique sintomas precoces.
▶️ Diagnóstico avançado: Aprenda a utilizar ferramentas diagnósticas de última geração para uma avaliação precisa.
▶️ Planejamento cirúrgico: Desenvolva habilidades para planejar estrategicamente cada procedimento.
▶️ Procedimento cirúrgico: Pratique a execução precisa e segura da cirurgia de Shunt Portossistêmico.
👥 Público-Alvo:
Cirurgiões com habilidades avançadas que desejam se tornar especialistas na área de Shunt Portossistêmico.
🌐 Plataforma Online:
Participe de aulas interativas e tenha acesso a materiais de estudo exclusivos em nossa plataforma de ensino virtual.
📜 Certificado de Conclusão:
Ao finalizar o curso com sucesso, você receberá um certificado.
🚀 Faça a diferença em sua carreira! Inscreva-se agora e alcance um nível superior em cirurgia de Shunt Portossistêmico.
Não perca esta oportunidade única de se destacar na cirurgia vascular!
:background_color(white)/hotmart/product_pictures/e311e36a-3483-400b-ae2a-490e09771107/CapturadeTela20230915as222120.png?w=920)
